Scoliosis Treatment in Orlando

Scoliosis Treatment & Relief in Orlando

Chiropractic Care for Scoliosis

Are you or a child dealing with abnormal spinal curves? This could be Scoliosis. It’s a common issue we see where there are severe abnormal curves of the spine that create havoc on your posture, cause pain, and prevent proper development.

We specialize in helping patients dealing with scoliosis and finding a path to correct these misalignments. Our chiropractic care is gentle, safe, and effective in helping to straighten the spine and reduce pain.

Find The Root Cause

Get to the bottom of what’s causing your Scoliosis pain so we can build a plan to get you feeling great again.

Custom Care Plan

We’ll help build you a plan of action to get your pain under control and getting you and your body feeling 100%.

Preventative Care

If needed, we’ll establish preventative measures to keep your problem from coming back so you can stay healthy.

Chiropractic Care for Scoliosis

Scoliosis is a major problem that can be debilitating and get worse and worse over time. Chiropractic care can help relieve pain and discomfort for scoliosis, and if caught early enough, help resolve the issue completely.

Scoliosis Treatment in Orlando

Many people experience major pain relief from their scoliosis with chiropractic care. Using our gentle adjusting techniques, we can help relieve pressure and the pain commonly experienced when dealing with scoliosis. Book an appointment now to schedule a time with our team and work with our team today.

Book Your Appointment!

Get started on your path to optimal health today.

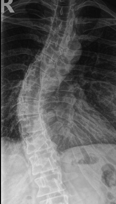
What is Scoliosis?

Scoliosis is a condition that affects the spine. It can make the spine curve sideways, and it can make it difficult to stand and move correctly. Scoliosis often happens during childhood, but it can also develop in adults. There are different types of scoliosis, and the cause is usually unknown. However, some cases of scoliosis are linked to conditions like cerebral palsy and muscular dystrophy.

There are several different types of scoliosis that can affect children and adults. The most common form is known as idiopathic scoliosis, which causes a right-sided curve in adolescents ages 10 to 14 years old.

Ankylosing spondylitis is another type of scoliosis that affects young people between ages 15 to 20. It can also occur in older adults over 50 with long-term back pain.  

Other types include congenital scoliosis or structural scoliosis caused by bones or muscles imbalances, tumors, injuries, weight problems, fractures, arthritis deformities, aging etc…

Many times, those dealing with scoliosis can get relief from chiropractic care.

Top Scoliosis Treatment in Orlando

Chiropractic care is one of the top treatments for scoliosis. Our chiropractic team in Orlando uses a variety of techniques to help correct the curvature of the spine and improve spinal function. Some of the techniques used include spinal adjustments, massage, and exercise therapy.

Seeing a chiropractor for scoliosis can help you increase your range of motion and reduce pain throughout the back. Chiropractors treat scoliosis with the goal of improving the spine’s function and alignment.

Common Causes of Scoliosis

There are several different causes of scoliosis. The most common form, idiopathic scoliosis, is caused by an unknown factor. However, other types of scoliosis can be caused by a variety of factors, including:

  • Cerebral palsy
  • Muscular dystrophy
  • Ankylosing spondylitis
  • Congenital scoliosis
  • Structural scoliosis
  • Tumors
  • Injuries
  • Weight problems
  • Fractures
  • Arthritis deformities

Regardless of the underlying cause of Scoliosis developing, seeing a chiropractor can help you correct the curvature of your spine and improve spinal function. 

Common Symptoms of Scoliosis

The most common symptoms of scoliosis include:

  • Uneven shoulders
  • One hip higher than the other
  • A rib hump
  • Pain in the lower back and neck.

Symptoms are different for everybody. Some are so minor that you may not even notice while many times it becomes a major burden.

How to Diagnose Scoliosis

Chiropractors use a variety of techniques to diagnose scoliosis, including:

  • A physical examination
  • X-rays
  • MRI scans
  • CT scans
  • Scoliometer measurements.

This allows chiropractors to get a clear view of the curvature of the spine and identify any abnormalities.

Chiropractic Treatment for Scoliosis in Orlando

If you are dealing with Scoliosis, we’d love to help you get your spine back in shape. You don’t have to live with the discomfort of Scoliosis. Our Chiropractic team in Orlando specializes in helping patients with scoliosis get back to living a pain-free life.

Book your appointment to get started today.

Book Your Appointment

Get started on your path to optimal health today!